中国工业报记者 毛志亮
头部,是摔跤意外中最需警惕的受伤部位。经典剧情里紫薇坠马后,眼部并未受损却骤然失明,根源便在于颅内出血压迫视神经。大脑既是人体至关重要的核心器官,也十分脆弱,掌控全身神经中枢,主导意识、思维及各项生命活动,是维系人体运转的关键中枢。与此同时,脑部组织质地娇嫩,如同豆腐一般经不起冲击,一旦遭遇磕碰、撞击或剧烈震荡,极易造成不可逆的严重损伤。

张老先生怎么也没想到,一次意外摔伤头部,竟差点让他与家人永别。今年春节过后,他感到头部隐隐作痛,老是想睡觉,但总觉得是“过年累着了”,没当回事。谁成想,几天后,他突然变得意识模糊,家人紧急将他送往深圳市第二人民医院急诊科。经过CT检查,医生诊断张老先生患的是“慢性硬膜下血肿”。
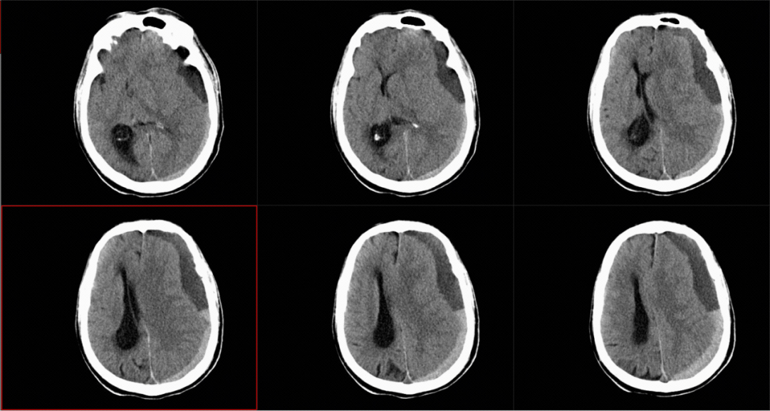
急诊CT影像,见左侧硬膜下混杂慢性硬膜下血肿,中线受压右移。
慢性硬膜下血肿这个听起来有些专业的名词,其实可以简单理解为“大脑外面慢慢地出血”。我们的大脑被三层膜包裹着,从内到外分别是软脑膜、蛛网膜和硬脑膜。

慢性硬膜下血肿就是发生在硬脑膜和蛛网膜之间的血肿,通常是头部受到轻微外伤后,少量出血逐渐积累形成的“血包”,这个形成过程可能持续数周甚至数月。

张老先生的发病过程非常典型,这种血肿初期症状往往不明显,可能只是轻微头痛、头晕、记忆力下降或反应变慢,很容易被误认为是疲劳、感冒或“年纪大了反应差了”的正常现象。特别是老年人,常常将这些症状归因于衰老,从而延误就诊。随着血肿逐渐增大,大脑受压加重,症状才会变得明显:意识障碍、肢体无力、行走困难,甚至昏迷。王老先生就是经历了这个过程。
深圳市第二人民医院神经重症监护室黄贤键主任团队接诊张老先生后,安排急诊进行“硬膜下血肿钻孔引流术”。开颅手术听起来挺吓人的,但这个手术其实只是在颅骨上钻一个小孔,放入引流管将硬膜下积聚的“大血包”放出来,减轻血肿对大脑的压迫。
这个手术效果立竿见影,术后当日张老先生的意识就逐渐恢复,很快就成功脱离呼吸机并拔除气管插管。
手术后两周时,张老先生已经能够自由行走,生活基本自理。他的家人感慨:“真是从鬼门关走了一遭。”这次经历也让全家认识到,对于家中长辈的身体变化,再小的异常也不应掉以轻心。当出现不明原因的头痛、乏力或认知变化时,及时就医检查,才能避免小问题酿成大患。
康复之路就随即启动,从昏迷到能够自由活动,张老先生经历了系统的康复治疗:
早期康复:术后返回重症监护室,早期开始为患者进行被动关节活动,防止肌肉萎缩和关节僵硬。
功能训练:随着意识恢复并拔除气管插管后,张老先生转至普通病房,治疗重点转向坐立平衡、站立和行走训练。起初需要两人搀扶才能站立片刻,肌肉力量经过训练后很快得到恢复,逐步可以独自站立和自主行走了。
认知与日常生活训练:除了肢体活动功能,医生和治疗师还帮助他恢复记忆力、注意力和日常生活能力,如穿衣、吃饭、洗漱等。
张老先生的经历给我们几个重要提醒:
一是头部轻微外伤要警惕:特别是老年人,即使头部磕碰得不严重,也可能在几周后出现慢性硬膜下血肿,尤其是出现精神反应状态和活动困难等情况;二是留意细微变化:如果出现持续头痛、记忆力下降、反应变慢、行走不稳或肢体无力,应及时就医,不要简单归因于“老了”;三是及时就医:一旦确诊,慢性硬膜下血肿的治疗效果通常都很好。像张老先生这样的病例,经过及时手术和系统康复,大多能恢复良好。(图/深圳市第二人民医院)
客户端
媒体矩阵
企业邮箱