63岁的范先生(化名)体检发现肺部有磨玻璃结节,在北京某大型三甲医院确诊肺癌,完成右肺中叶切除+纵隔淋巴结清扫术。返回深圳的范先生出现胸闷憋气,全身浮肿,极度虚弱。范先生来到深圳市第二人民医院胸外科检查,发现右侧胸腔有大量积液,胸腔引流后,每日引流出800-1000ml乳白色液体,确诊为肺癌手术导致的乳糜胸。该医院胸外科采用目前先进的荧光胸腔镜技术,相当于在患者胸腔装上“GPS”精准地找到瘘口位置,进行缝扎,挽救患者的生命,患者已准备出院。

深圳市二医院钱有辉教授团队利用荧光胸腔镜技术为患者施行胸导管结扎术
难!早期肺癌切除后出现术后并发症
今年,范先生照常进行体检,将常规的胸片检查升级为胸部CT,检查发现:肺部磨玻璃结节,这让他一下子慌了神。经过朋友的介绍,范先生在北京某大型三甲医院完成右肺中叶切除+纵隔淋巴结清扫术。
绝大多数早期肺癌都能通过手术彻底治愈,且不需要其他治疗,范先生认为此事也就此翻篇。
近日,返回深圳的范先生出现胸闷憋气症状,到医院检查发现右侧胸腔有大量积液,放置了胸腔引流管,每日引流出800-1000ml乳白色液体。医生告诉范先生,这是出现了术后并发症——乳糜胸。

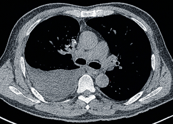
胸部CT平扫提示右侧胸腔大量积液,右肺下叶膨胀不全
据深圳市二医院胸外科主任钱有辉教授介绍,胸导管是人类最主要的淋巴管,收集全身3/4的淋巴液,以及经肠道所吸收的脂类物质。淋巴液中包含大量脂类物质,外观似乳糜状,也称为乳糜液。当胸导管堵塞或破裂时,会有大量的乳糜液漏到胸腔,称为乳糜胸,常发生在肺癌淋巴结清扫及食管癌等手术后。
“如果乳糜胸得不到及时控制,乳糜液的大量丢失会造成严重营养不良及水盐电解质失衡,感染风险也大大增加。” 钱有辉教授表示,发生乳糜胸的患者每日有大量的营养物质和免疫细胞经胸腔流失到体外。乳糜胸刚发生时往往先采用保守治疗,包括:禁食、静脉营养及抑制消化系统功能等等。因为胸导管缺乏平滑肌组织,破口不易挛缩、愈合,破口较大时保守治疗往往无效。
范先生已经持续1个月引流出大量乳糜液,目前已经明显感觉身体虚弱,这种情况需要及时通过手术来结扎胸导管。
强!微创小切口解决胸腔大问题
“乳糜液颜色基本透明,难以观察到,乳糜胸手术难度比较大。”钱有辉教授表示,只有进食脂肪类食物后能颜色会变为淡乳白色,能被肉眼识别,且不同个体间胸导管的数目、形态和位置存在诸多变异。因此,手术当中不易发现胸导管破口。术后乳糜胸患者进行手术时,因为同时存在术后粘连,解剖结构改变等因素,寻找胸导管破口往往非常困难,部分患者即使进行多次手术也难以解决这个问题。

深圳市二医院胸外科医护人员在看病人的胸片
此次为范先生完成胸导管结扎手术将使用目前较先进的荧光胸腔镜技术。该技术将无放射性、无毒副作用、排泄快且不参与体内化学反应的荧光造影剂吲哚菁绿(ICG)注射到人体,ICG与血红蛋白或白蛋白结合后释放荧光,术中荧光胸腔镜系统显示被吸收了ICG组织器官或病变。相当于在胸腔内装了GPS,可以精准借助该技术能清楚地显示胸导管破口以及部分胸导管,帮助医生精准的寻找到破口位置,进行准确无误的处理,大大提高了手术成功率。除了胸导管结扎术,该技术也可用于肺结节定位、肺段切除时段间平面显示、手汗症手术时交感神经显像及胸导管显像等等,在胸外科领域应用广泛。
胸外科联合医院多学科协作,术前在范先生的皮下注射造影剂,即可在术中清晰地看到胸导管破损处有荧光显影的乳糜液外漏,从而精准地找到瘘口位置,通过准确结扎治愈乳糜外漏。范先生的手术极具曲折,钱有辉教授团队在术中先按照传统方法,在4个部位对胸导管进行结扎,通过荧光胸腔镜发现仍有乳糜液溢出,说明胸导管存在复杂变异的情况。在荧光胸腔镜的指引下,钱有辉教授在非常隐蔽的部位发现了胸导管的瘘口。由于瘘口的位置不易按传统的方法进行结扎,钱有辉教授创新性使用荷包缝合+止血材料填埋的方法,成功闭合胸导管瘘口。
“我们在传统成熟术式的基础上,通过微创小切口,利用最新的腔镜荧光显像定位系统,即达到了预期的临床疗效,为患者解除了病痛。”钱有辉教授说。
术后第1天,范先生胸腔引流液就从每日1000ml减少到500ml,术后第3天减少到300ml每日。术后2周,范先生终于可以喝点水,距离上次喝水整整过去了1个半月。
赞!胸外科大病在深圳也能看好
钱有辉教授接受采访时表示:“范先生是在北京的某三甲医院做肺癌手术后,出现乳糜胸并发症,来到我院就诊的。术后乳糜胸是一种潜在的致死性并发症,如果不能得到有效控制会导致体液大量丢失,患者会出现营养不良和免疫功能下降,无法治愈的乳糜胸患者,死亡率高达30—50%。少数患者存在胸导管变异情况,中难以准确定位到胸导管及其瘘口,导致手术失败,这些患者经过多次手术仍无法治愈。”

范先生及其家属为深圳市二医院胸外科团队送上锦旗
“我们从深圳奔波到北京的医院做肺癌切除手术,就医的过程比较不便,术后还出现了严重并发症。这一次,我们决定在深圳治疗,在家门口就顺利解决了乳糜胸的大问题,钱教授团队医术精湛,我们也感受到深圳的医疗水平越来越高,以后看大病不用再跑北上广。”范先生说,在深圳就能看大病、看好病,就医获得感更强了。
作为深圳市医师协会胸外科分会会长单位和深圳市医学会胸外科分会执行主委单位,深圳市第二人民医院胸外科承担了长期接收来自深圳各区及周边地区的疑难复杂胸外科病患。每年协助其他医院完成高难度、高风险的复杂手术100余例。团队坚持全心全意对待每一位患者,赢得了广大患者的信任,连续10年无医疗事故、无医疗投诉,为深圳患者提供优质医疗服务,解决老百姓“看大病难”的问题。近两年,科室得到高水平医院、三名工程等民生工程大力支持,装备了达芬奇机器人、支气管镜磁导航系统、腔镜荧光显像定位系统、3D胸腔镜等先进设备。这些新设备新技术都已经在临床发挥作用,科室力求充分利用自身的软硬件优势为每一个患者量身定做最佳的治疗方案,以更好的服务患者。(毛志亮 帅菲斐 深圳市二医院供图)
请输入验证码